2023年の8月に受けた人間ドック(脳のMRI)で
脳梗塞があることが判明しました(下のリンク先の記事参照)
2012年か2013年から毎年人間ドックを受けていて
よくよく過去の結果を見てみると、2019年辺りから何かはあるんですよね
とんでもない誤診もありましたが(笑)
脳梗塞については誤診ではありません。
↓2019年の画像

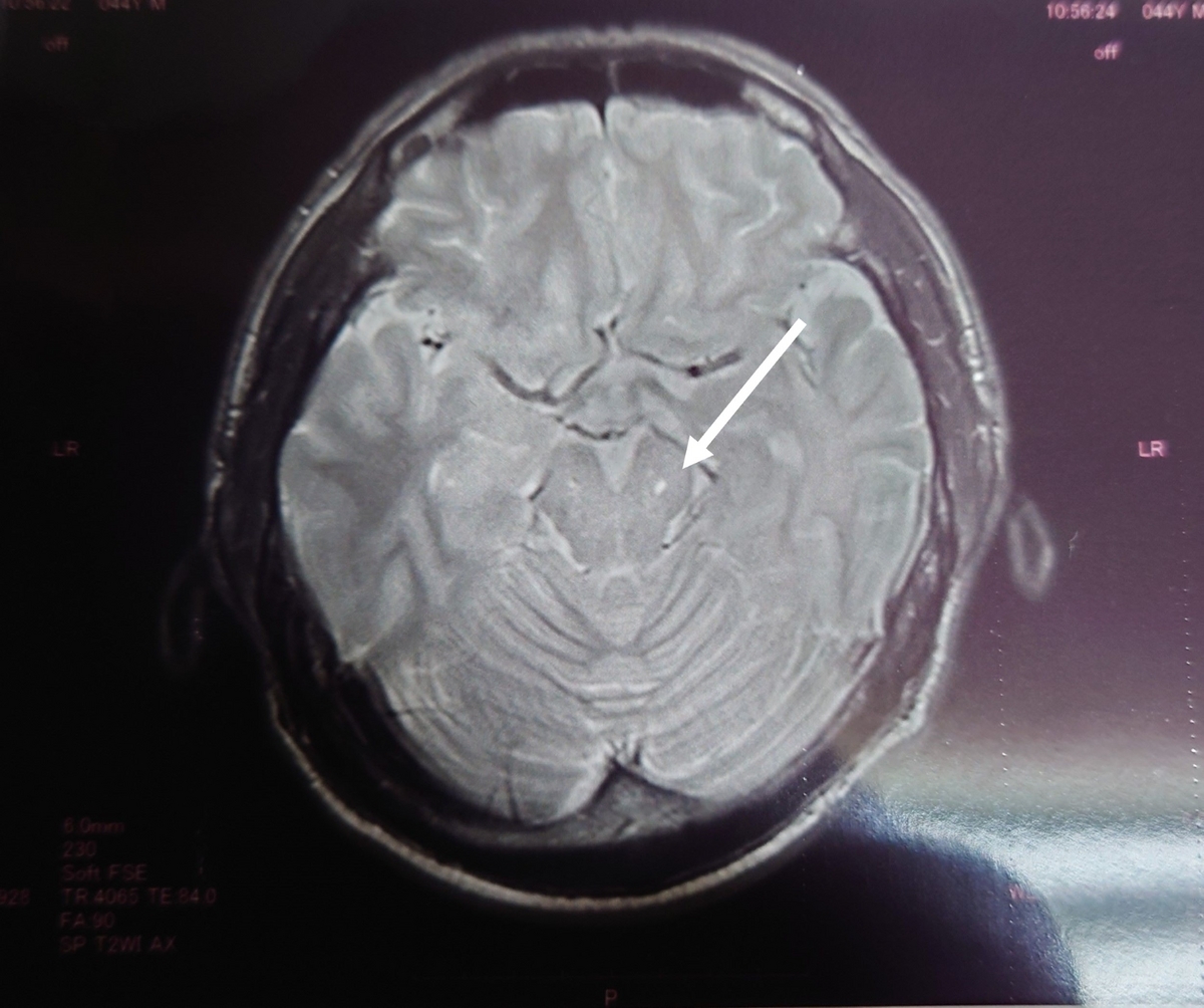
2020年の画像

2023年の画像(病院が違います)

vaccine-panicdisorder.hatenablog.jp
2023年の8月に受けた人間ドック(脳のMRI)で
脳梗塞があることが判明しました(下のリンク先の記事参照)
2012年か2013年から毎年人間ドックを受けていて
よくよく過去の結果を見てみると、2019年辺りから何かはあるんですよね
とんでもない誤診もありましたが(笑)
脳梗塞については誤診ではありません。
↓2019年の画像

2020年の画像

2023年の画像(病院が違います)

vaccine-panicdisorder.hatenablog.jp